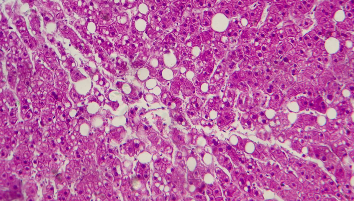
[#item_full_content] So far the results only apply to mice, but the researchers hope for future studies to show whether they hold true in humans too.
Read More
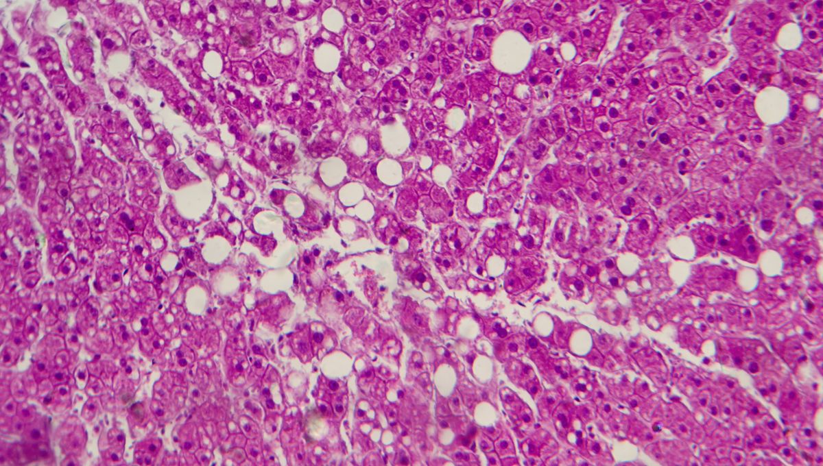
[#item_full_content] So far the results only apply to mice, but the researchers hope for future studies to show whether they hold true in humans too.
Read More